Surgical Orthodontics, also known as Orthognathic Surgery, is a type of orthodontic treatment used to correct severe cases that include bad bites, jaw bone abnormalities, and others. Surgical Orthodontic treatment is a combination treatment of jaw surgery with braces/Invisalign treatment.
Surgical Orthodontics may be used to treat adults with improper bites or other aesthetic concerns. It is used for those that cannot be properly treated with braces and appliances alone. The need for surgical orthodontics occurs when the jaws do not line up correctly, and a proper bite cannot be achieved with orthodontic treatment alone. Orthognathic surgery will help properly align the jaw, and orthodontic braces/Invisalign will then be used to move the teeth into their proper position.
At Sabari Orthodontics, we are able to treat most cases without jaw surgery, however, in rare instances, there are situations where there can be a facial aesthetics improvement when doing your treatment with surgical orthodontic treatment.
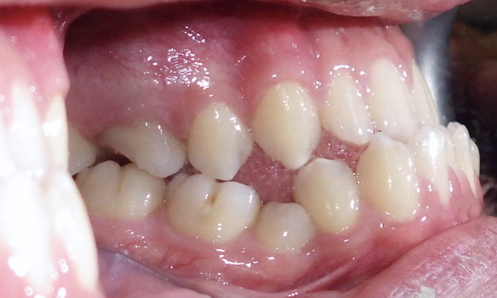
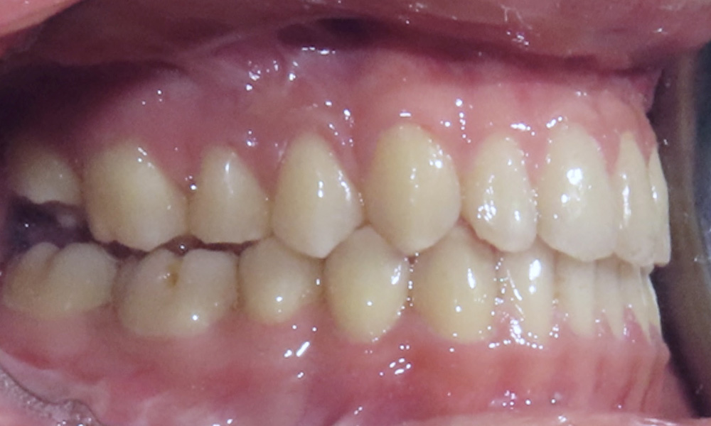
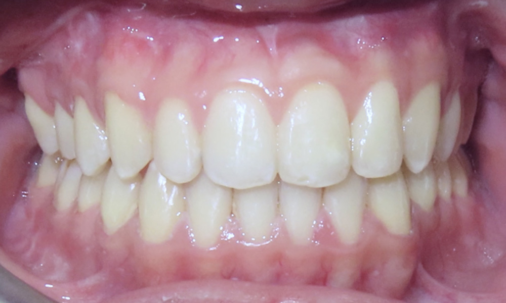
Class III Underbite - Surgical
Before



After




