


We provide complimentary consultations starting as early as the age of 7 as the American & Canadian Orthodontists Association recommends starting seeing patients at this age. This is called Phase 1 Interceptive Orthodontic treatment where we look to see if our patients have any of specific conditions to address. This is the most important phase within our practice as its focus is primarily on funtionality rather than simply cosmetics. We are making sure we properly correct the bite as well as proper alignment of the teeth, if left untreated it can result in future problems such as excessive wear of teeth and could cause discomfort of the jaw joint, and larger issues such as extraction of healthy adult teeth, surgical tooth exposure, as well as jaw surgery.
These conditions below should be treated in children age 7-10.
CROSSBITE OF FRONT TEETH

CROSSBITE OF BACK TEETH

CROWDING

OPEN BITE

PROTRUSION

DEEP BITE

UNDERBITE

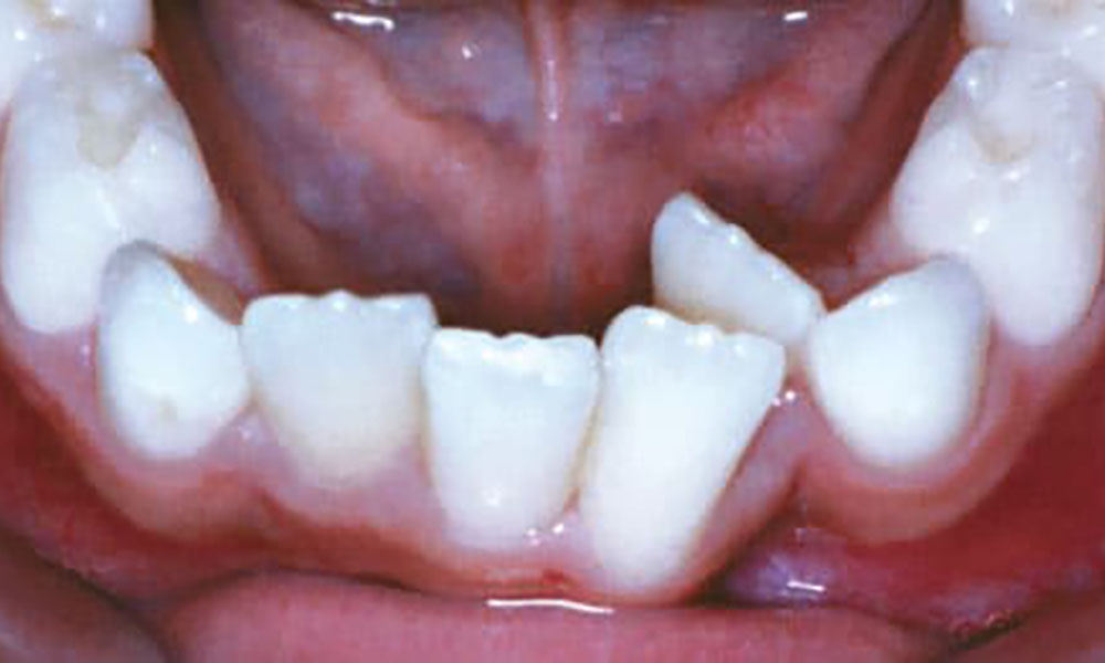
SPACING

ORAL HABITS

Early Interceptive Treatment is our top priority & our main focus is to provide treatment only when it is necessary. When treatment is not required, we provide complimentary follow-up visits to monitor development until your child is ready for treatment.


