The Sabari Orthodontics team is committed to making sure our patients come in smiling and leave with an even brighter smile! Explore the incredible outcomes our patients have experienced with our personalized treatment plans.
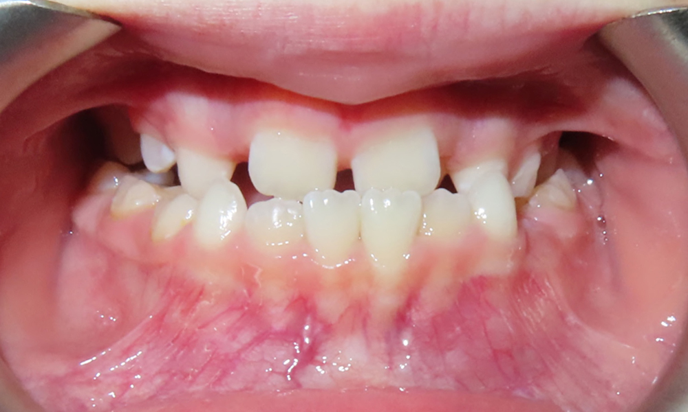
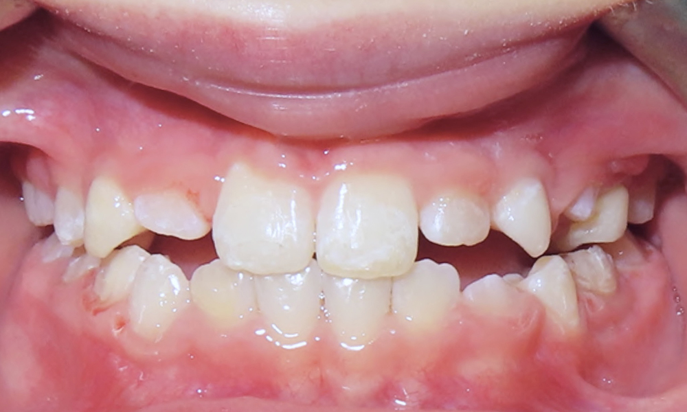
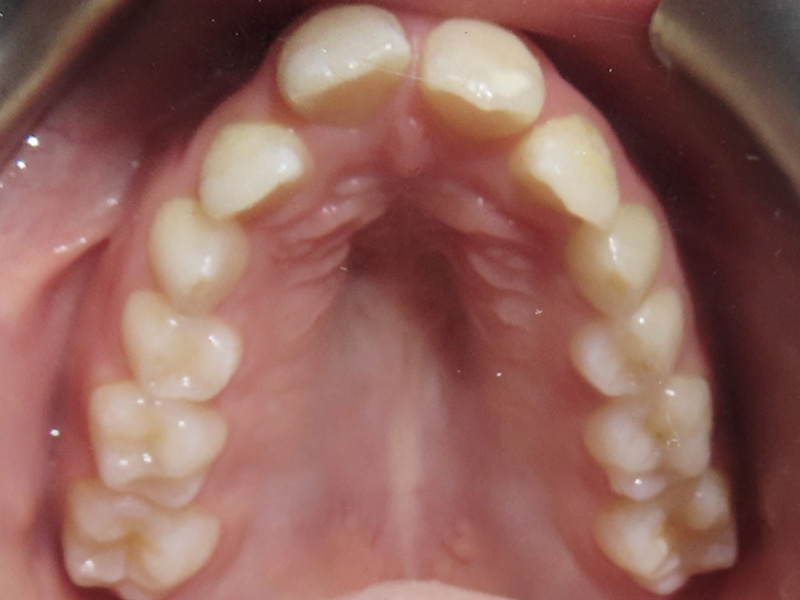
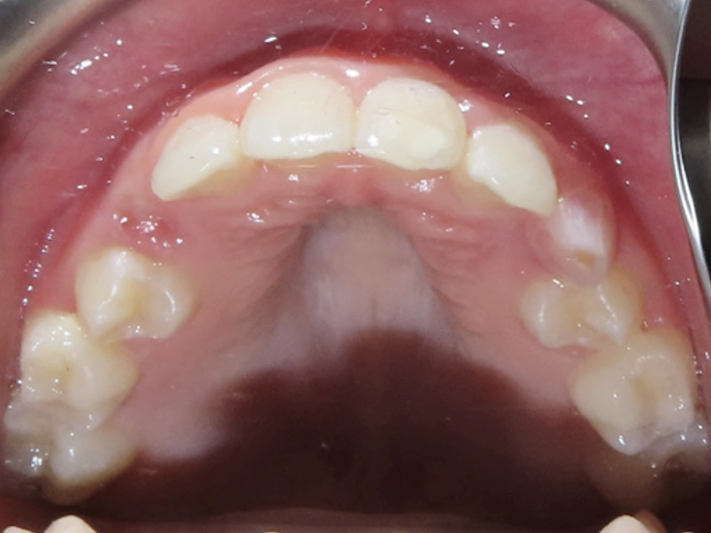
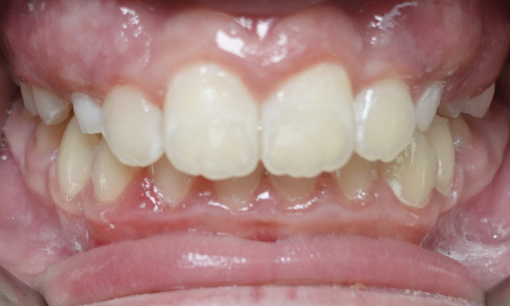
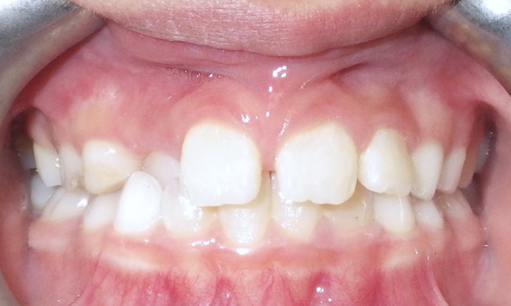
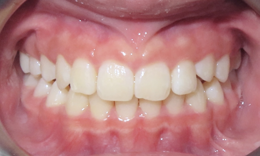
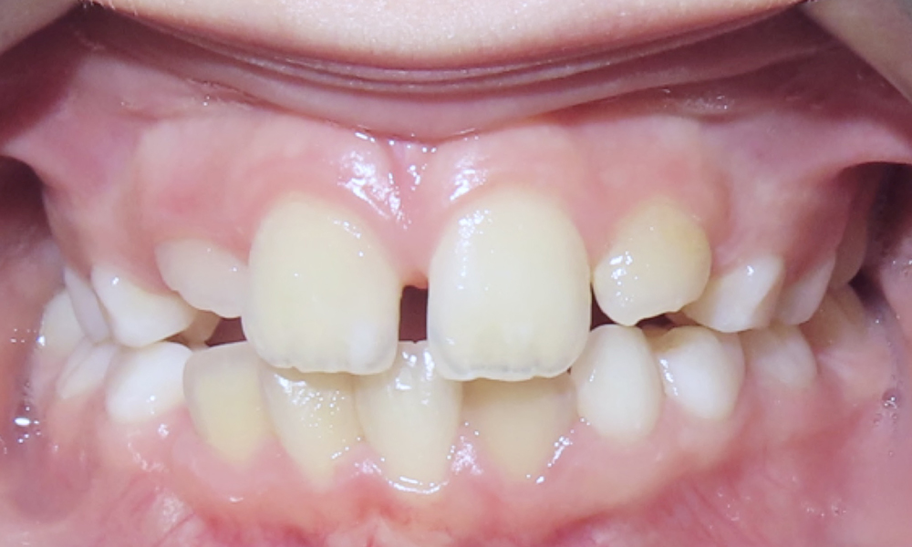
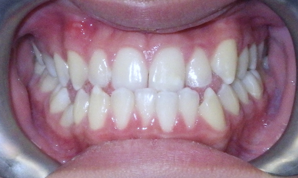
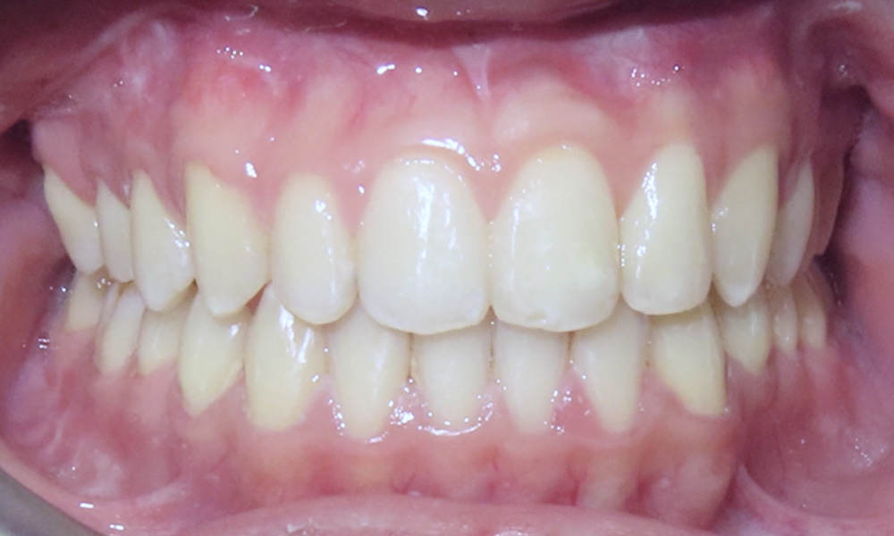
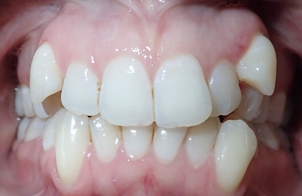
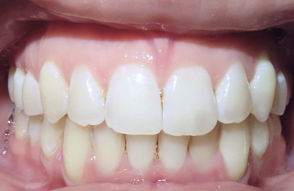
INVISALIGN® FIRST - PHASE 1 TREATMENT
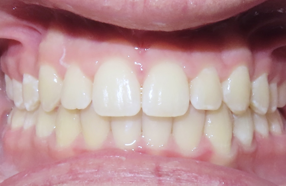
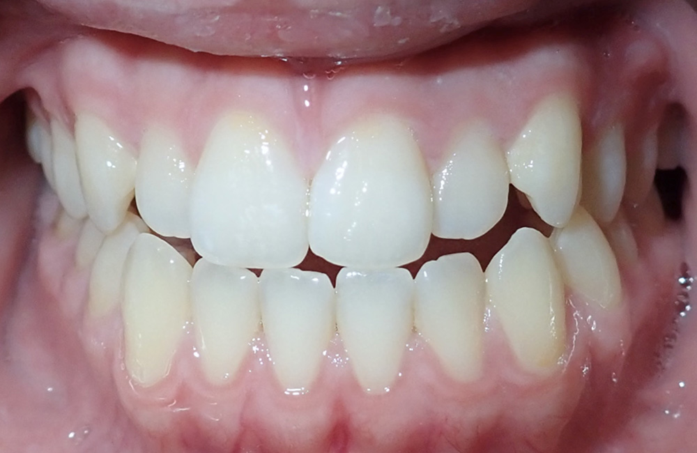
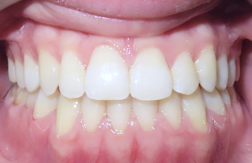
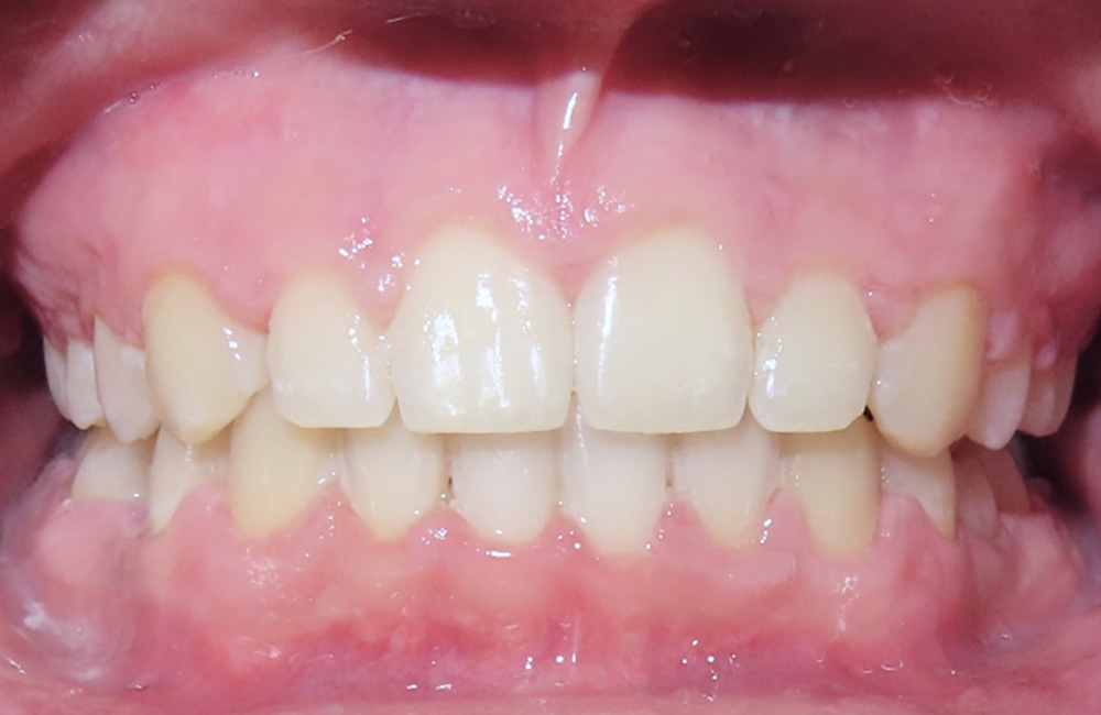
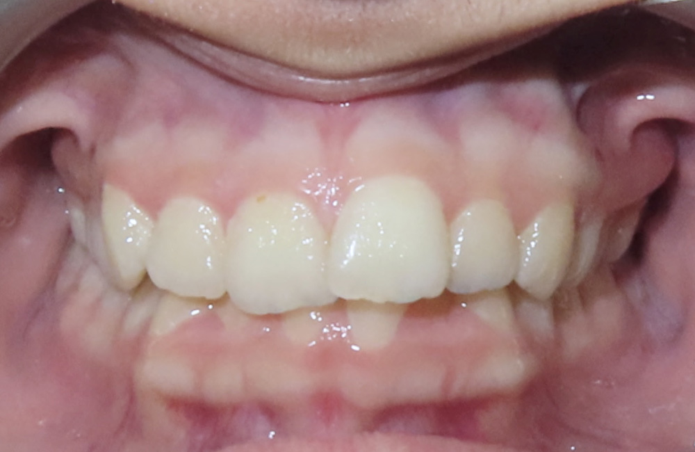
BEFORE

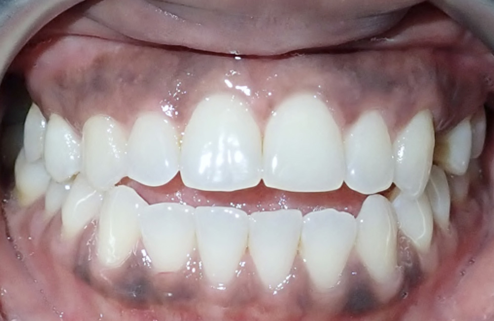
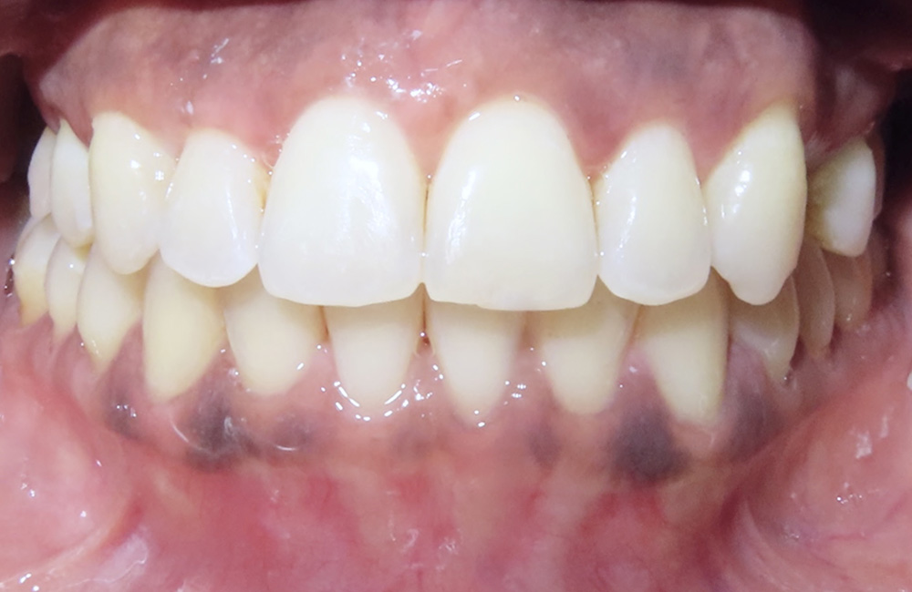
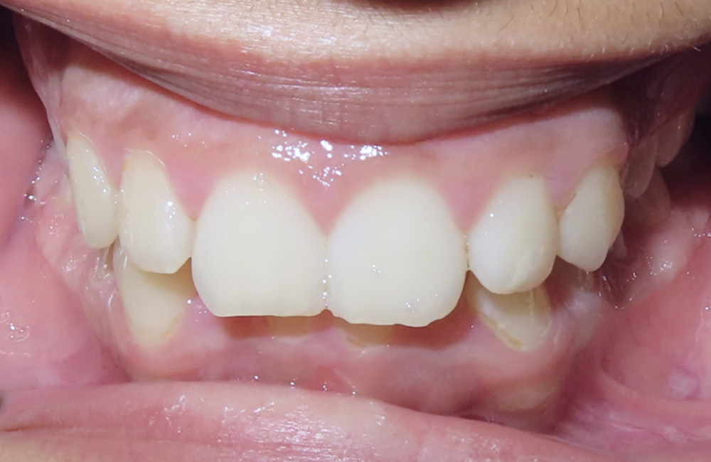
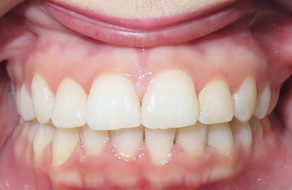
AFTER

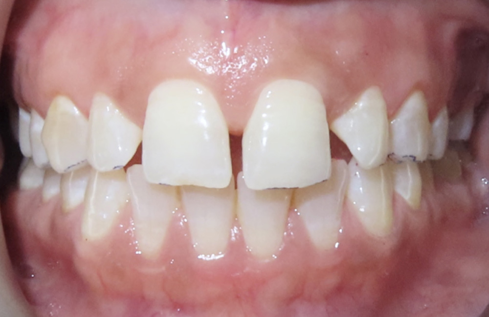
BEFORE

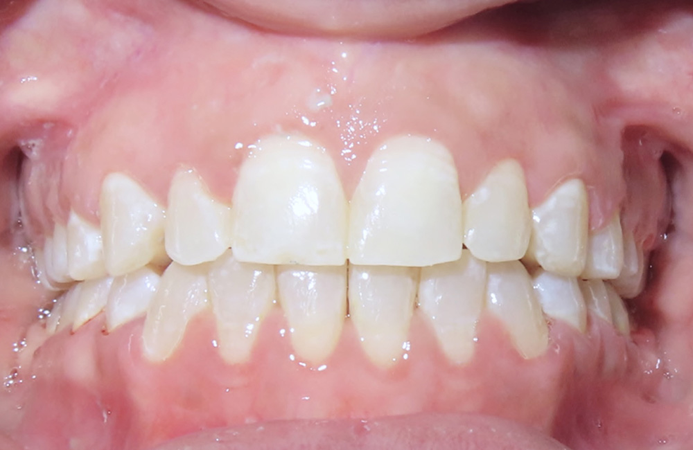
AFTER

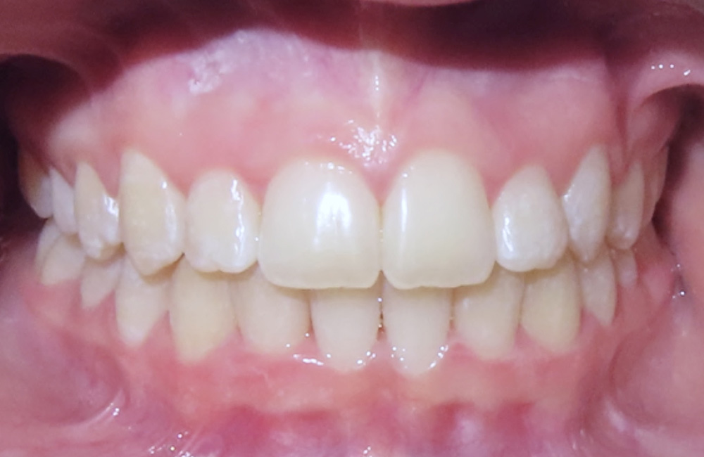
BEFORE

AFTER

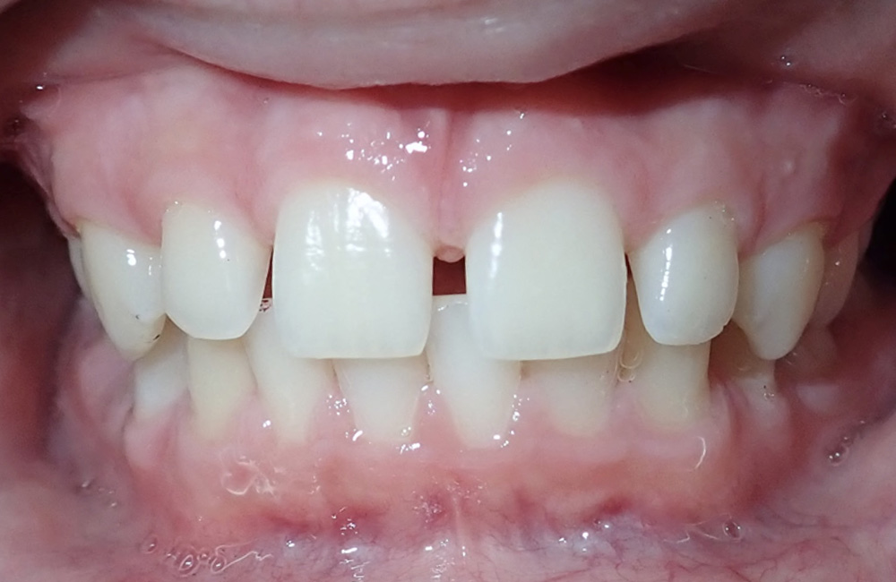
BEFORE

AFTER

BEFORE

AFTER

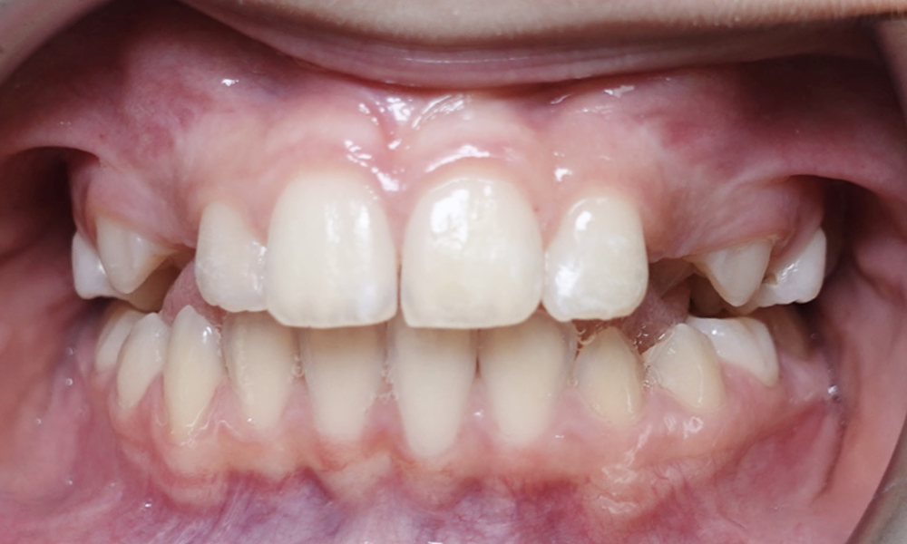
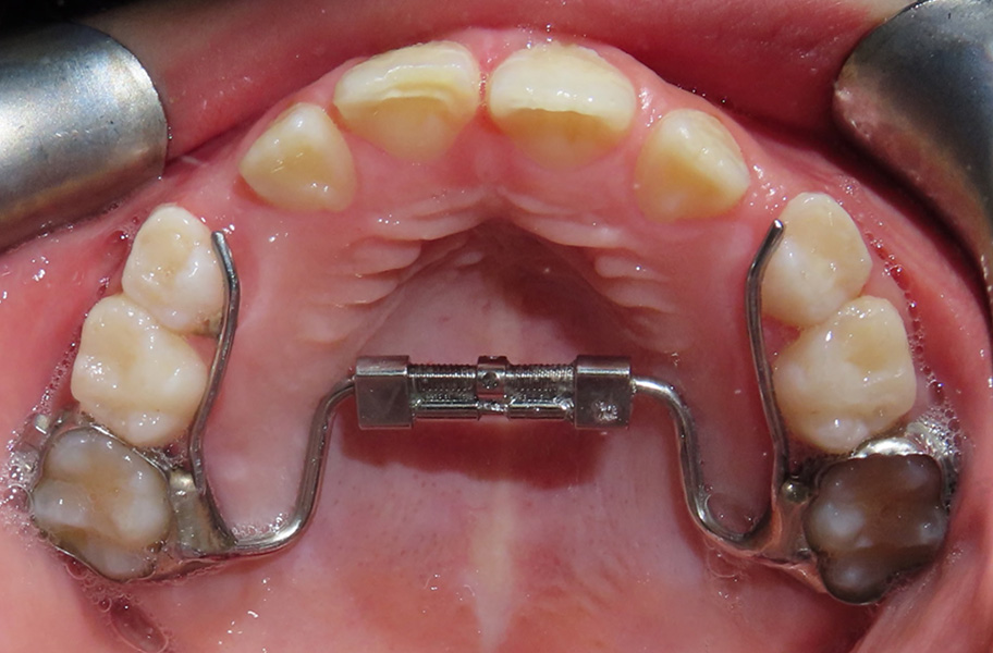
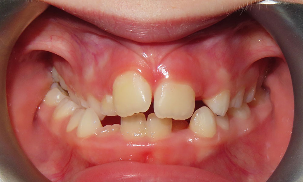
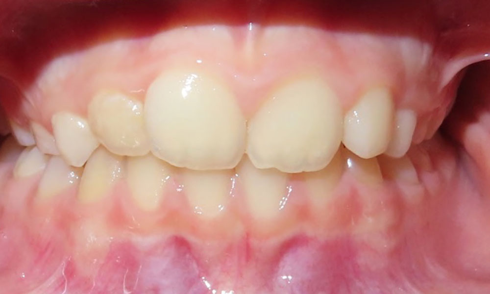
FIXED UPPER EXPANDER - PHASE 1 TREATMENT
BEFORE

AFTER

BEFORE

AFTER

BEFORE

AFTER

BEFORE

AFTER

INVISALIGN® - full TREATMENT
BEFORE

AFTER

BEFORE

AFTER

BEFORE

AFTER

BEFORE

AFTER

BEFORE

AFTER

BEFORE

AFTER

BRACES - FULL TREATMENT
BEFORE

AFTER

BEFORE

AFTER

BEFORE

AFTER

BEFORE

AFTER


