Your body undergoes constant change and among those natural changes are movements in the structures that secure your teeth in place. Since your teeth will no longer have the guided pressure that an appliance provides throughout treatment, there is a normal settling process that occurs once completed. To maintain your new smile for the long term, we strongly recommend a retainer to be worn after your orthodontic treatment is completed.
While other orthodontic offices provide one (1) set of retainers, here at Sabari Orthodontics we happily provide our patients with two (2) sets of retainers. We will always recommend the type of retainer we see best suited to maintain your new smile which will be included in your treatment. However, we give you the opportunity to upgrade your retainer to what will best fit your lifestyle at an additional cost.
INCLUDED IN YOUR TREATMENT:
Included in your orthodontic treatment you will have an option between two (2) sets of upper & lower Vivera/Essix retainers OR one (1) set of upper & lower Vivera/Essix retainers and one (1) set of upper & Lower Fixed Lingual Straight Wire retainer.
VIVERA/ESSIX (REMOVEABLE) RETAINER
A Vivera/Essix retainer is a clear removable retainer made of hard durable plastic that is custom made to fit your teeth. We recommend replacing this type of retainer every 6 months. It is worn at night time and while you sleep. If this type of retainer is not worn regularly, your teeth will shift.
VIVERA/ESSIX RETAINER


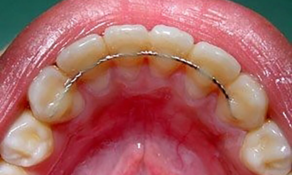
FIXED LINGUAL STRAIGHT WIRE RETAINER
The fixed lingual straight wire retainer is a metal wire that is securely glued to the back of your front teeth using bonding material. It is paired with a Vivera/Essix removeable retainer so the other teeth are kept in place.
STRAIGHT WIRE RETAINER


UPGRADES TO YOUR TREATMENT:
At an additional cost of $300.00, you can choose between a Hawley retainer with Vivera/Essix retainer OR Fixed Lingual Hygienic (wavy) Wire retainer to implement to your retainer system to protect your new smile.
HAWLEY RETAINER
A hawley retainer is a removable retainer that consists of an acrylic palatal plate connected by a thin metal wire in the front of the teeth. The acrylic plate is molded to fit on the roof of your mouth. It is worn only at night time and while you sleep. If this type of retainer is not worn regularly, your teeth will shift. If necessary, this type of retainer can be adjusted.
FRONT VIEW

UPPER VIEW

LOWER VIEW

FIXED LINGUAL HYGIENIC (WAVY) WIRE RETAINER
The fixed lingual hygienic (wavy) wire retainer is a wavy-shaped metal wire that is securely glued to the
back of your front teeth using bonding material. It is paired with a Vivera/Essix removeable retainer so the
other teeth are kept in place.
HYGIENIC (WAVY) WIRE RETAINER



